Excelentes resultados y atención
★★★★★


CENTRO DE IMPLANTOLOGÍA Y ESTÉTICA
· Ortodoncia invisible · Estética
· Implantología · Cirugía oral y maxilofacial · Odontopediatria
· Periodoncia · Endodoncia

¡ AQUÍ INICIA TU MEJOR SONRISA!
En Dental TT integramos la maestría odontológica con tecnología de vanguardia para ofrecer una nueva generación de tratamientos seguros, predecibles y estéticamente impecables. Nuestro equipo multidisciplinar —con doctores de amplia trayectoria clínica— aborda todas las áreas de la odontología.
Trabajamos bajo un principio irrenunciable: mínima invasión, máxima precisión. Cada intervención se planifica de forma personalizada, buscando el equilibrio entre salud, función y estética. Combinamos protocolos basados en evidencia con diagnóstico digital, flujos CAD/CAM, guías quirúrgicas y materiales de última generación para obtener resultados naturales y duraderos, evitando procedimientos innecesarios.
Nuestra filosofía de excelencia y honestidad nos ha consolidado como clínica de referencia, con pacientes que nos eligen por la delicadeza en el trato, la transparencia en las indicaciones y la calidad constante de los resultados.






QUE PUEDES ESPERAR DESDE TU PRIMERA VISITA
Acogida y evaluación inicial
Te recibimos, revisamos tu historial y objetivos, hacemos fotos intraorales y, si es necesario, un escaneo/radiografía básica para ver el estado real de tu boca.


Te explicamos lo que vemos con imágenes, resolvemos dudas y te proponemos un plan paso a paso: opciones de tratamiento, tiempos, presupuesto y financiación sin sorpresas.
Si procede, realizamos una higiene básica o medidas provisionales, te damos recomendaciones para casa y agendamos tu próxima cita por el canal que prefieras (WhatsApp, teléfono o email).




Diagnóstico claro y plan personalizado
Primeros cuidados y siguientes pasos



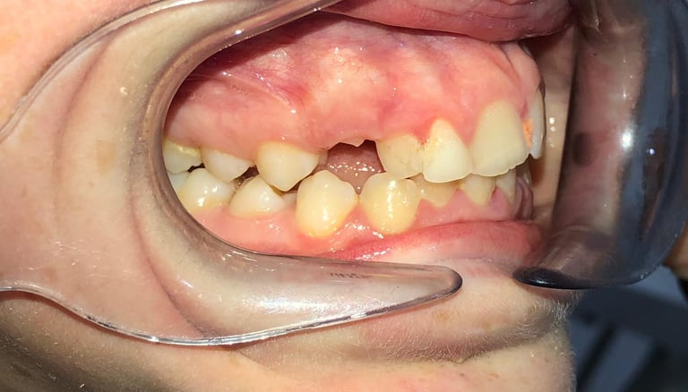
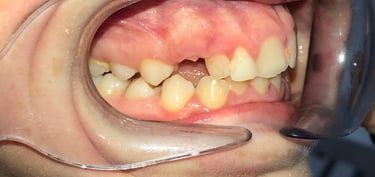
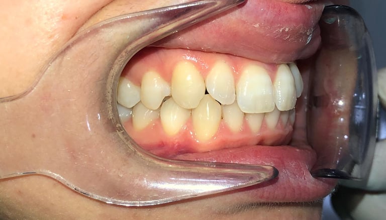
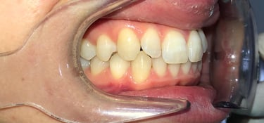
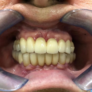
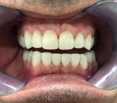
NUESTROS CASOS REALES























